Do You Have a Dark Front Tooth?
When a tooth undergoes trauma, the nerve inside the tooth is also subject to some damage. Depending on the severity, the trauma can cause a small chip, a large fracture, or the tooth can completely come out of its socket. Damage to the nerve will be evident in each of these cases, and the tooth with the greatest trauma will have the greatest nerve damage. Sometimes the nerve damage will require a root canal – sometimes it will not. Trauma can irreversibly damage the tooth’s nerve, and since the nerve cannot repair itself, it tends to die a slow death. Oftentimes, the resultant tooth color will change and appear much darker than the other teeth.
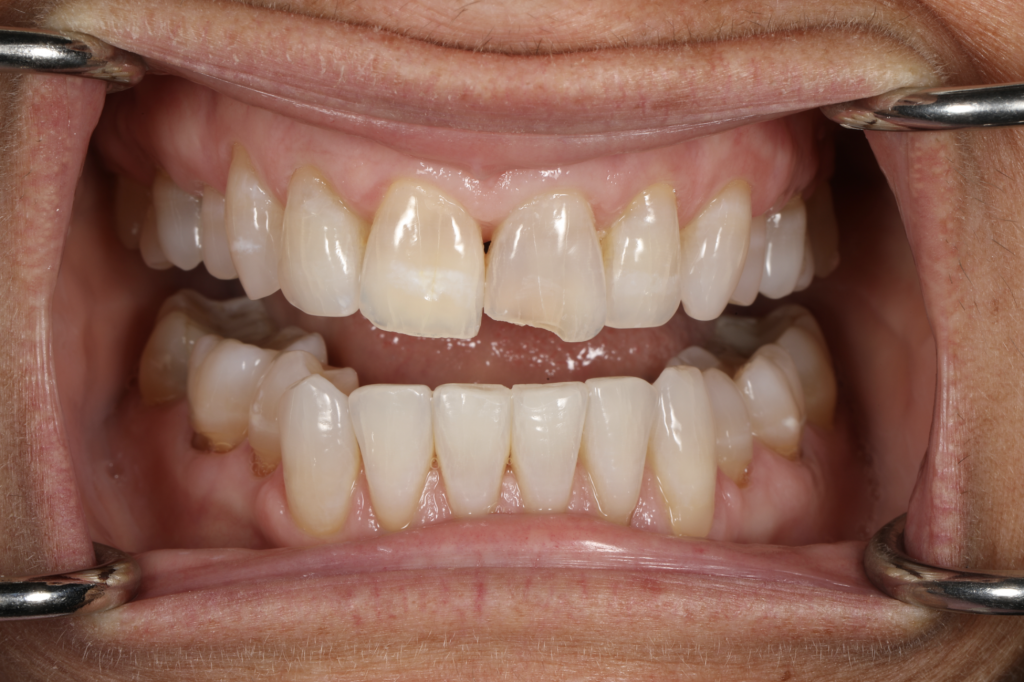
In the case below, the patient suffered a traumatic injury that caused a fracture in her tooth several years ago. As described above, the nerve in her tooth was irreversibly damaged. She never had a root canal done as the tooth never had any symptoms. She also did not know the reason for the change in color of the tooth. Before restoring the fractured edge, the tooth was tested for vitality. The tooth in fact did test vital. The patient was given the option of removing the compromised nerve and then bleaching the tooth from the inside to get the best esthetic result of the bonding. She chose to match the tooth to itself, declining this additional step of internal bleaching.


The fractured tooth was restored, matching it to the rest of the tooth and the adjacent front tooth. Dr. Tara makes sure to seamlessly blend their bondings so they are not discernible, paying particular attention to the shade, shape, translucency, surface texture, and amount of luster. The patient was very happy with the result of the one-hour bonding appointment. No anesthesia was necessary! Should she choose to go the extra mile and internally bleach the traumatic tooth in the future, she can know that there was no tooth structure harmed during her treatment.




